Condiciones que Tratamos
Diagnóstico claro y soluciones a tu medida
En Rident abordamos los problemas más frecuentes con un plan por etapas, explicaciones simples y tratamientos previsibles. Si buscás atención odontológica en Córdoba para recuperar función y estética de tu sonrisa, estás en el lugar indicado.
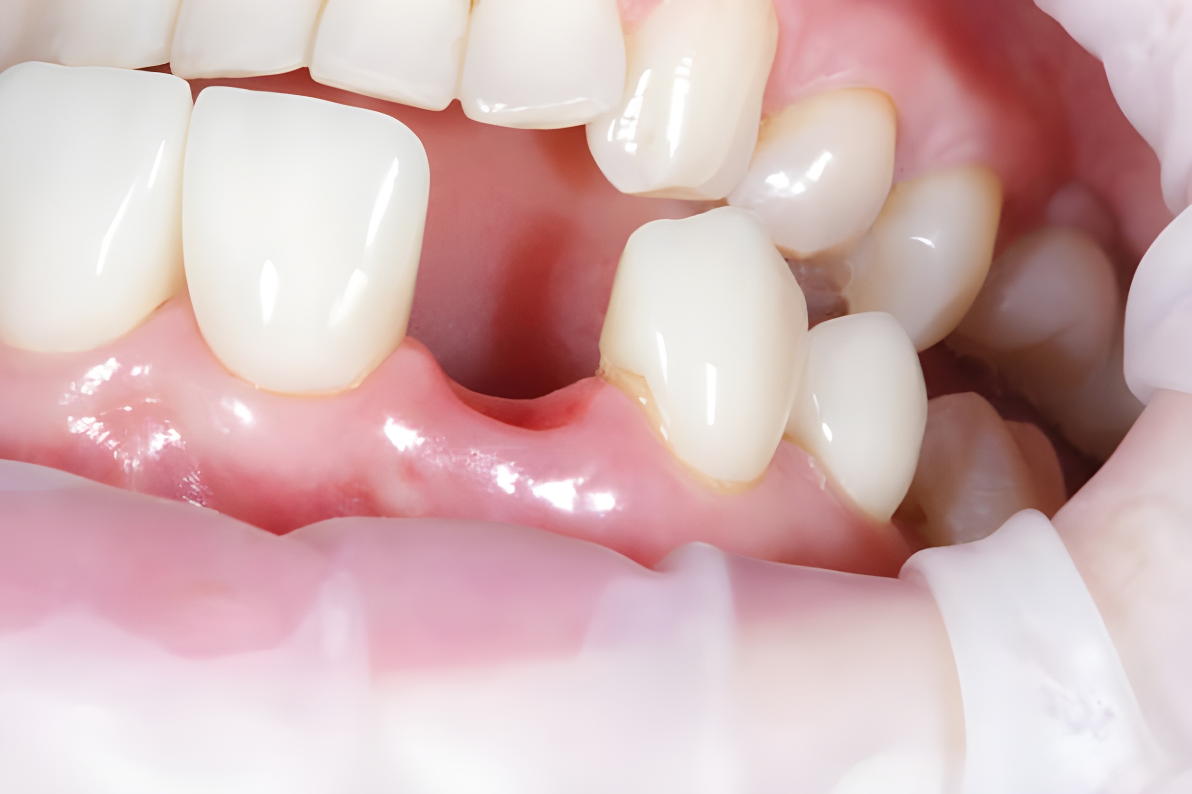
Pérdida Dentaria
La ausencia de una o varias piezas afecta la masticación, el habla y la estética. Evaluamos tu salud ósea y tu oclusión para indicar la mejor opción de reemplazo (implantes dentales y rehabilitación), priorizando estabilidad y una apariencia natural.
Dientes Fracturados o Ausentes
Las fracturas pueden generar dolor, sensibilidad y comprometer la mordida. Indicamos restauraciones de alta precisión (incrustaciones, coronas, carillas) y, cuando falta la pieza, planificamos su reposición con implantes o alternativas protéticas según tu caso.
Maloclusiones
Apiñamientos, mordidas abiertas o cruzadas impactan en la función y el desgaste. Con ortodoncia u ortodoncia invisible planificamos el movimiento dental de forma biológicamente segura para alinear, equilibrar la mordida y mejorar la estética.
Desgaste Dental
El bruxismo, ácidos o contactos inadecuados pueden desgastar tus dientes. Tratamos la causa (ajuste oclusal, férulas/placas) y rehabilitamos la forma y altura perdida con restauraciones adhesivas o coronas para recuperar función y estética.
Enfermedades Periodontales Leves
Encías inflamadas, sangrado y mal aliento suelen indicar gingivitis o periodontitis leve. Realizamos higiene profesional, instrucción en cuidados en casa y controles para mantener las encías sanas y evitar progresión del daño.
Alteraciones Funcionales y Estéticas de la Sonrisa
Si no te sentís a gusto con el color, forma o simetría, o notás una mordida incómoda, combinamos estética dental (blanqueamientos, carillas) con rehabilitación y, si corresponde, ortodoncia para lograr una sonrisa armónica y funcional.
Dolor Dental o Infecciones Endodónticas
Ante dolor agudo, sensibilidad a frío/calor o flemón, evaluamos pulpa y tejidos de soporte. Con endodoncia eliminamos la infección, preservamos la pieza y luego restauramos para devolver resistencia y prevenir recurrencias.
Este formulario es únicamente para consultas administrativas. Si necesitás información sobre cualquier gestión, podés escribirme por aquí.
© 2026 Odontología Rident. Website elaborada por Conecta con Tu Salud